في حادثة طبية نادرة أثارت جدلًا واسعًا في الأوساط الصحية، نُقل طفل من نيوزيلندا إلى المستشفى في حالة حرجة بعد ابتلاعه نحو 100 قطعة مغناطيسية صغيرة اشتراها عبر الإنترنت من منصة التسوق الصينية "تيمو"، ما تسبب له في أضرار خطيرة بالأمعاء.
ووفقًا لتقرير نُشر في المجلة الطبية النيوزيلندية، وصل المراهق — الذي لم يُكشف عن هويته — إلى مستشفى تاورانغا في الجزيرة الشمالية بعد معاناته من آلام شديدة بالبطن استمرت أربعة أيام. وخلال الفحص، اعترف بابتلاعه ما بين 80 إلى 100 قطعة مغناطيسية قبل أسبوع من دخوله المستشفى.
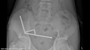
وأظهرت الفحوص الطبية أن هذه القطع تنتمي إلى نوع من المغناطيسات الصغيرة المحظورة في نيوزيلندا منذ عام 2013، حيث تسببت في التصاق أجزاء من الأمعاء الدقيقة والغليظة وتلف أنسجتها نتيجة الضغط المغناطيسي المستمر.
وخضع الطفل لعملية جراحية دقيقة استمرت عدة ساعات، تمكن الأطباء خلالها من إزالة المغناطيسات والأنسجة المتضررة بنجاح، قبل أن تستقر حالته ويُسمح له بمغادرة المستشفى بعد ثمانية أيام من المراقبة الدقيقة.
وحذّر الأطباء من أن مثل هذه الحالات قد تُسبب مضاعفات مزمنة مستقبلًا، مثل انسداد الأمعاء أو آلام متكررة في البطن، داعين الآباء إلى مراقبة أطفالهم وتوعيتهم بمخاطر الألعاب المغناطيسية المنتشرة عبر الإنترنت.
من جانبها، أعلنت شركة "تيمو" فتح تحقيق داخلي عاجل للتأكد من مطابقة المنتجات المعروضة على منصتها لمعايير السلامة في نيوزيلندا. وقال متحدث باسم الشركة:
"نأسف لما حدث، وبدأنا مراجعة شاملة للقوائم ذات الصلة لضمان الالتزام الكامل بالمعايير المحلية".
وأضاف أن الشركة لم تتمكن بعد من تأكيد مصدر الشراء بدقة، لكنها تتعاون مع الجهات المختصة والمجلة الطبية النيوزيلندية للحصول على مزيد من التفاصيل حول الواقعة.
تم إقتباس هذا الخبر من موقع:جريدة المدينة
في الموقع ايضا :
- اليمن يؤكد تضامنه مع البحرين والإمارات ودعم إجراءاتهما لحماية سيادتهما
- وزير الأوقاف الأردني يفتتح مسجداً بالعاصمة عمان بتبرع كويتي
- من شاعر إلى رئيس دولة.. من هو سنجور الذي تحمل الجامعة الدولية اسمه؟
